Naar de webwinkel β†’
Webwinkel Afspraak maken
Home/Oogonderzoeken/Diabetesscreening

Diabetes­screening
ogen

Regelmatige oogcontrole is essentieel voor mensen met diabetes. Vroeg opgespoorde beschadigingen zijn te behandelen β€” wacht niet op klachten.

Diabetes en uw ogen

Als gevolg van diabetes mellitus (suikerziekte) kunnen afwijkingen aan het netvlies van het oog ontstaan. Deze beschadigingen blijven vaak lange tijd onopgemerkt, zelfs als u geen klachten ervaart. Zonder tijdige diagnose en behandeling kunnen deze afwijkingen leiden tot ernstige oogproblemen, zoals verminderd zicht of zelfs blijvende schade.

Regelmatige controle van de ogen is daarom essentieel. Door jaarlijks een oogonderzoek te laten uitvoeren, kan de oogarts eventuele afwijkingen vroeg opsporen. Bij vroege detectie is behandeling mogelijk om verdere schade te voorkomen en uw gezichtsvermogen te behouden.

Diabetes en ogen
Diabetesscreening onderzoek

Specifieke onderzoeken bij diabetes

Tijdens het oogonderzoek (circa 40 minuten) worden verschillende aspecten van uw ogen zorgvuldig gecontroleerd:

Oogsterktebepaling β€” controle op verminderd gezichtsvermogen
Oogdrukmeting β€” verhoogde oogdruk kan wijzen op glaucoom, dat bij diabetes vaker voorkomt
Biomicroscopie β€” inspectie met de microscoop op afwijkingen door diabetes
Netvliescontrole β€” uitgebreide beoordeling van het netvlies op tekenen van diabetische retinopathie
Fundusfotografie β€” digitale foto's van het netvlies die worden opgeslagen en vergeleken bij toekomstige controles om veranderingen of ziektebeelden tijdig vast te leggen

Druppels & rijvaardigheid

Beschadigingen aan het netvlies door diabetes kunnen aanwezig zijn zonder dat u klachten ervaart. Voor een goed zicht op het netvlies krijgt u oogdruppels toegediend die de pupil verwijden. Dit kan tijdelijk uw gezichtsvermogen verminderen, waardoor autorijden enkele uren na het onderzoek wordt afgeraden. Neem een zonnebril mee en bij voorkeur iemand die u thuisbrengt.

Oogdruppels bij onderzoek

Suiker onder controle? Toch controleren

Zelfs wanneer uw suikergehalte volledig onder controle is, kan diabetes toch schade aan uw ogen veroorzaken. Het risico op beschadiging aan het netvlies blijft aanwezig, vaak zonder dat u direct klachten ervaart. Daarom is een jaarlijkse controle van groot belang om eventuele afwijkingen tijdig te signaleren en waar nodig te behandelen.

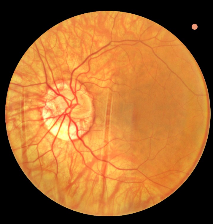
Fundusfotografie netvlies

Fundusfotografie

Regelmatig maken we digitale fundusfoto's van uw netvlies. Deze beelden worden opgeslagen en vergeleken bij toekomstige controles om eventuele veranderingen of ziektebeelden tijdig vast te leggen en te behandelen. Dit geeft een objectief beeld van het verloop over de jaren.

Kosten

De kosten van de diabetesscreening vindt u op onze prijslijst.

Preventief onderzoek zonder klachten

Dit onderzoek is uitdrukkelijk bedoeld als preventieve controle β€” ook als u geen oogklachten heeft. Bij diabetes type 1 en type 2 is jaarlijkse screening de standaard aanbeveling.

Afspraak maken

πŸ”¬ Screening diabetes

Preventieve oogcontrole bij diabetes inclusief fundusfotografie en netvliescontrole.

ca. 40 min

Screening inplannen β†’
πŸ’¬ Oogadvies

Nog niet zeker? De optometrist beoordeelt uw situatie en stelt een vervolgplan op.

ca. 15–20 min

Oogadvies inplannen β†’

Maak vandaag nog een afspraak

Bel ons of plan online uw oogonderzoek in.